Hello!
Introduction
Welcome to the first, explorative, CAOS AI challenge. Our goal is to host more of these small challenges, building up to larger ones. This is a small challenge suitable to make your first steps into AI image recognition and will seamlessly fit into the AI workshop on the 19th during the workshop day. The goal is to discern between two types of hip surgeries. They look alike but are technically completely different for the non-surgeons.
Examples
Hemi-arthroplasty (in this case a cemented stem with a bipolar head)
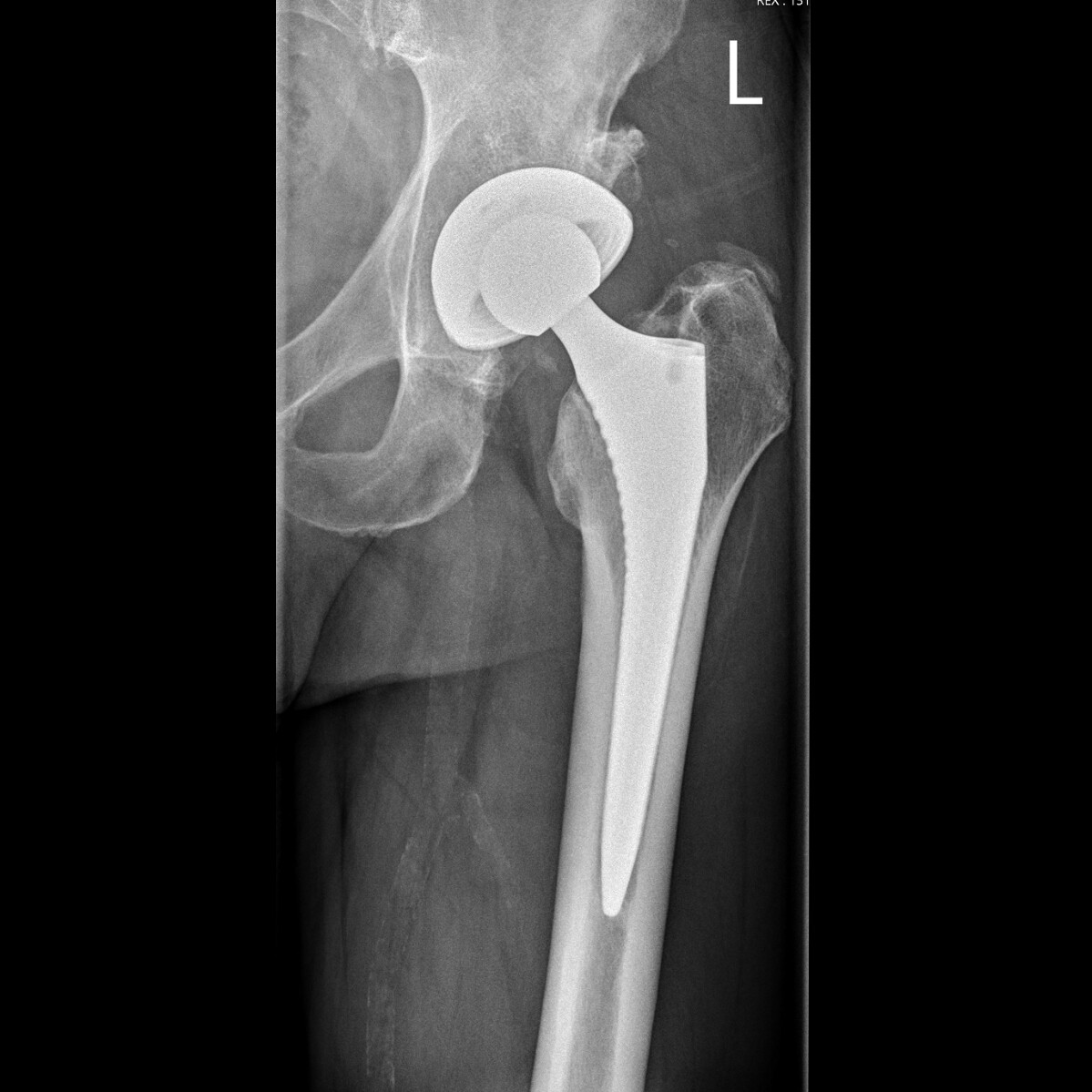
Total hip arthroplasty (in this case a uncemented stem with an uncemented cup)
Data
Three datasets in 3 folders are provided, 2 for learning and one for testing. The datasets are small.
Dataset is available here:
Challenge1.zip (28.8 MB)
To download it, you need to login, top right. It uses your CAOS international account, and you are send to the CAOS website to login.
Result
Post the result below and the way you’ve achieved this. Either through a web based method or local solution. Feel free to post code.
Prize
The first three responses from junior researchers will be rewarded with typical Dutch treats!
Ownership and Data safety
Data is not free to use for further research and/or use. It remains property of the providing center. All data has been anonymized
Kind regards
Guillaume and Jasper

